Người đàn ông TP.HCM gãy xương mũi vì chơi Pickleball

Admin

14/10/2025 13:00

Anh Phi, 35 tuổi, trong lúc chơi Pickleball bị vợt của đồng đội đánh trúng giữa mũi, gây chảy máu, sưng nề, bác sĩ chẩn đoán vỡ xương mũi cần phẫu thuật.

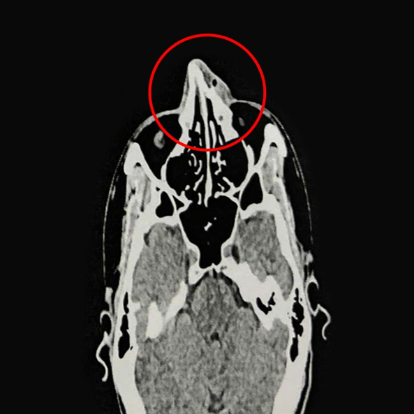
ThS.BS.CKI Nguyễn Trung Nguyên, Trung tâm Tai Mũi Họng, Bệnh viện Đa khoa Tâm Anh TP.HCM, cho biết kết quả nội soi và chụp CT 128 lát cắt ghi nhận xương mũi của anh Phi bị gãy ở vị trí tháp mũi, phù nề tụ khí mô mềm vùng mũi, lệch vách ngăn mũi, viêm mũi xuất tiết. Anh Phi được chỉ định phẫu thuật nâng xương mũi, chỉnh hình vách ngăn mũi.

“Vỡ xương mũi (gãy xương mũi) là loại gãy xương mặt phổ biến nhất do mũi ở trị ví trung tâm mặt và nhô ra trước, thường do chấn thương như tai nạn, té ngã hoặc va đập trong thể thao như anh Phi”, bác sĩ Nguyên nói. Các triệu chứng phổ biến bao gồm đau, sưng, bầm tím quanh mắt, chảy máu mũi, biến dạng mũi hoặc khó thở.

Trường hợp anh Phi, cần phẫu thuật nâng xương mũi để đưa mũi về lại hình dáng tự nhiên, thông thoáng đường thở hốc mũi. Nếu không điều trị, xương mũi biến dạng, vẹo hoặc sụp mũi, làm tắc nghẽn gây viêm mũi xoang, khó thở. Trường hợp nặng, tụ máu vách ngăn dễ dẫn đến hoại tử sụn, biến dạng mũi, thậm chí rò dịch não tủy nếu tổn thương lan đến xương sàng.

photo-1760412330784

Anh Phi được điều trị nội khoa ba ngày để giảm phù nề, mũi hết sưng viêm trước khi nhập viện phẫu thuật. Người bệnh được gây mê toàn thân. Qua nội soi kết hợp CT, bác sĩ Nguyên thấy mũi biến dạng, gãy di lệch tháp mũi và ngành lên xương hàm hai bên. Bác sĩ tiến hành chỉnh hình vách ngăn mũi, rạch niêm mạc vách ngăn phải bị vẹo, tách phần sụn tứ giác và phần xương vách ngăn bị vẹo, cắt bỏ phần xương, sụn vẹo. Sau đó nâng xương chính mũi và ngành lên xương hàm hai bên, chỉnh xương mũi thẳng, cân đối. Cuối cùng, bác sĩ đặt gạc meche chặt vào hốc mũi qua cửa mũi trước, cố định xương mũi đã nâng.

Sau mổ, anh Phi thở dễ, không đau nhiều, sinh hoạt bình thường, sức khỏe ổn định, xuất viện sau 1 ngày hậu phẫu. Tái khám sau 2 tuần, vết mổ lành thương tốt, mũi cân đối, trở lại hình dáng tự nhiên.

Người bị gãy xương mũi cần được điều trị sớm và đúng cách, tốt nhất trong 4-7 ngày đầu sau chấn thương, khi can xương chưa hình thành. Đây là thời điểm bác sĩ có thể nắn chỉnh xương mũi trở lại vị trí ban đầu, giúp giữ dáng mũi tự nhiên và hạn chế biến dạng. Nếu để muộn, can xương hình thành lệch, khiến sống mũi gồ, lõm hoặc vẹo sang một bên, làm mất cân đối khuôn mặt. Lâu dần, mô mềm quanh mũi xơ hóa, co kéo, khiến da mũi biến dạng, kém đàn hồi, không chỉ ảnh hưởng thẩm mỹ mà còn gây nghẹt mũi, khó thở do vách ngăn bị lệch theo.

Bác sĩ Nguyên khuyến cáo, sau một tác động mạnh vào vùng mũi, nếu thấy sưng đau, bầm tím hoặc vết xây xước ở da vùng mũi, biến dạng mũi, chảy máu mũi hoặc nghẹt mũi… nên đi khám sớm với bác sĩ chuyên khoa Tai Mũi Họng để được chẩn đoán và điều trị kịp thời, hạn chế biến chứng.