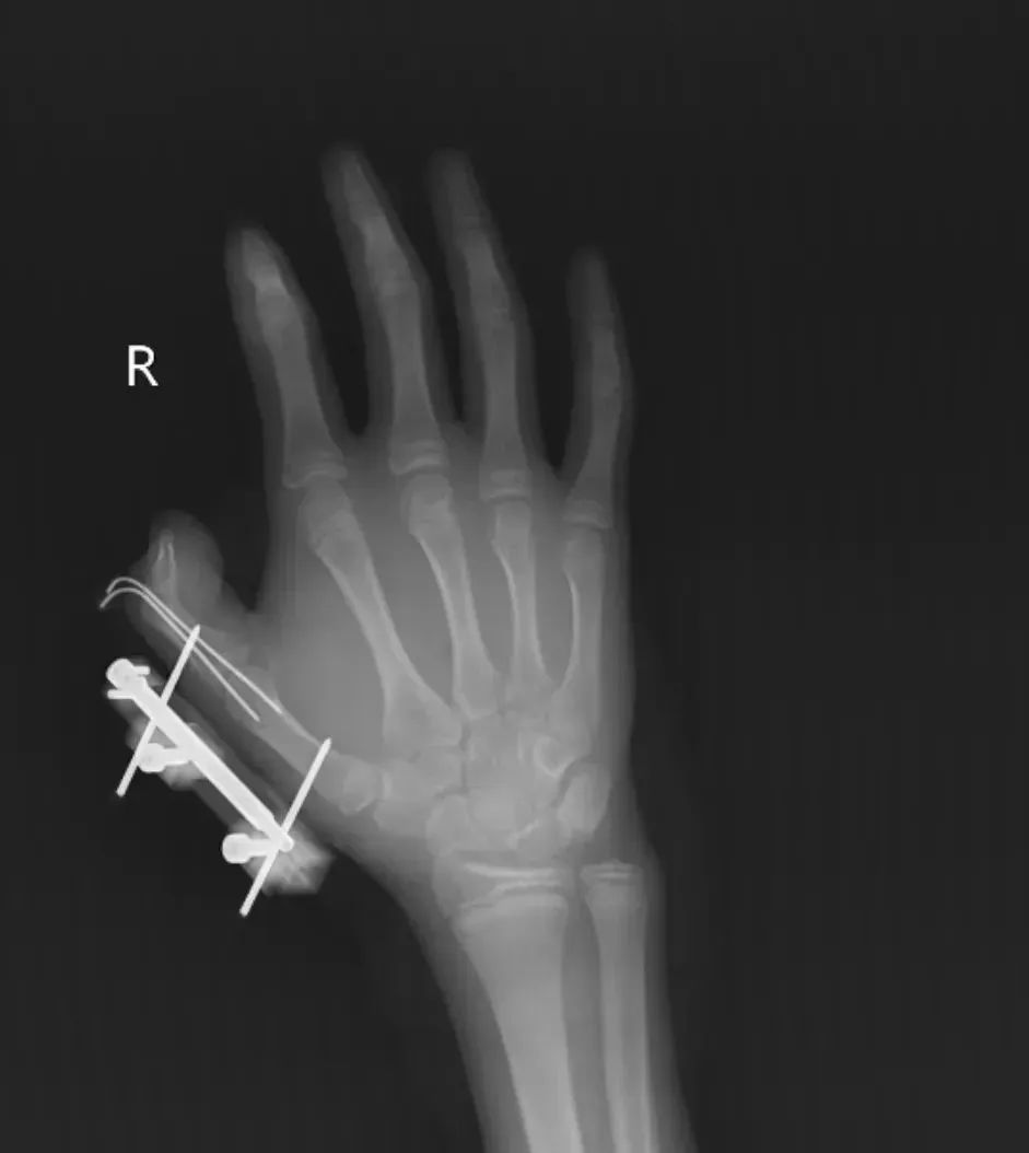
Mới đây, tại tỉnh Hồ Nam, Trung Quốc, một bé gái 14 tuổi (tên gọi là Vi Vi) phát hiện túi đá khô trong hộp kem vừa đặt mua online. Nghĩ rằng đó chỉ là loại đá bình thường, em đem túi đá khô lắc chơi trong tay. Chỉ vài giây sau, túi kín đựng đá khô bất ngờ phát nổ. Vụ nổ khiến tay phải của Vi Vi rách một đường khoảng 10cm ngay vị trí kẽ ngón cái, cơ bị đứt, lộ mô mềm, kèm theo gãy xương và trật khớp. Ngón cái hoàn toàn mất cảm giác.
Vi Vi đã được phẫu thuật giữ lại ngón tay, nhưng bác sĩ cho biết phải phục hồi chức năng dài hạn mới hy vọng lấy lại khả năng cầm nắm tinh tế.
Đá khô là gì và vì sao dễ gây tai nạn?
Đá khô là dạng rắn của khí CO2 (điôxít cacbon), có nhiệt độ khoảng -78,5 độ C. Ở điều kiện bình thường, nó không chảy thành nước mà chuyển thẳng sang khí CO2, tạo ra hiện tượng bốc khói trắng quen thuộc.
Khi đá khô biến thành khí, thể tích có thể tăng đến 800-1000 lần. Nếu bị nhốt trong một túi hoặc chai kín, áp suất tăng nhanh và gây nổ mạnh.
Theo bác sĩ Trần Kiến Dân, Trưởng khoa Phẫu thuật bàn tay và Vi phẫu, Bệnh viện Nhân dân tỉnh Hồ Nam (Trung Quốc), việc lắc túi khô đá giống như tạo một “quả bom mini”, rất dễ gây tổn thương nghiêm trọng.
Nhiều người nghĩ có thể để đá khô trong ngăn đông để dùng dần. Nhưng nhiệt độ ngăn đá (-4 đến -24 độ C) vẫn đủ khiến khô đá tiếp tục bay hơi. Lượng khí CO2 tăng lên trong không gian kín dễ làm tủ lạnh… phát nổ.
Nghe thì hy hữu, nhưng thực tế, trong tủ lạnh của nhiều gia đình vẫn đang tồn tại những “quả bom hẹn giờ” mà ít ai để ý.
Đứng đầu là các loại đồ uống có gas như bia, nước ngọt. Khi bị bỏ vào ngăn đông, áp suất bên trong tăng vọt, chỉ cần mở nắp là đủ sức gây nổ mạnh, thậm chí xuyên thủng gỗ.
Ngoài ra, chai thủy tinh chứa đồ uống hoặc gia vị cũng là mối nguy tiềm ẩn. Nước bên trong đông lại sẽ giãn nở, tạo áp lực khiến chai nổ tung.
Một số loại đồ hộp sau khi mở nắp tiếp tục lên men, sinh khí, càng làm tăng nguy cơ.
Các chuyên gia khuyến cáo tuyệt đối không cho vào ngăn đông các loại đồ uống có gas, chai thủy tinh hoặc đồ chứa cồn. Sắp xếp thực phẩm hợp lý và dạy trẻ cách sử dụng tủ lạnh an toàn. Một hành động tưởng chừng vô hại đôi khi lại là mồi lửa cho thảm kịch. Tủ lạnh có thể là “kho dự trữ” bảo vệ gia đình, nhưng cũng có thể trở thành “kíp nổ” nếu bạn dùng sai cách.
Nguồn và ảnh: gmw.cn





Hoặc