Ca bệnh tử vong gây dư luận trái chiều: Bệnh viện thông tin sự việc

Admin

18/01/2026 16:02

Bệnh viện Hữu nghị Việt Nam - Cu Ba Đồng Hới khẳng định đã thực hiện đầy đủ, đúng quy trình chuyên môn trong toàn bộ quá trình tiếp nhận, chẩn đoán, điều trị và cấp cứu, với tinh thần trách nhiệm cao nhất.

Ngày 18/1, Bệnh viện Hữu nghị Việt Nam - Cu Ba Đồng Hới, tỉnh Quảng Trị đã thông tin sự việc liên quan đến trường hợp bệnh nhân L.H.T.V, SN 2010, trú xã Đồng Lê, có tiền sử hội chứng Down và tim bẩm sinh, tử vong sau quá trình cấp cứu và điều trị tại bệnh viện.

Mấy ngày gần đây, trên một số trang mạng xã hội Facebook của tỉnh Quảng Trị, xuất hiện một số thông tin chưa chính xác liên quan đến sự việc trên. Mặc dù thông tin chưa được kiểm chứng khách quan nhưng đã gây ra nhiều dư luận trái chiều. Trước tình hình trên, Bệnh viện đã thông tin chính thức, minh bạch, giúp người dân hiểu đúng bản chất sự việc.

Theo thông tin từ Bệnh viện, trường hợp bệnh nhân L.H.T.V, có tiền sử hội chứng Down và tim bẩm sinh, được chuyển từ Bệnh viện Đa khoa khu vực Tuyên Hóa vào cấp cứu lúc 17h44 ngày 15/1 với chẩn đoán theo dõi viêm tụy cấp.

Ca bệnh tử vong gây dư luận trái chiều: Bệnh viện thông tin sự việc- Ảnh 1.

Bệnh viện Hữu nghị Việt Nam - Cu Ba Đồng Hới.

Ngay sau khi tiếp nhận, bệnh nhân được thăm khám, làm đầy đủ các xét nghiệm, chẩn đoán hình ảnh và được giải thích tình trạng bệnh, chỉ định chuyên môn cho gia đình.

Đến khoảng 20h40 cùng ngày, bệnh nhân được chỉ định chụp cắt lớp vi tính (CT) ổ bụng có thuốc cản quang. Sau khi chụp, bệnh nhân xuất hiện đau bụng nhiều, bụng chướng, được chỉ định đặt sonde dạ dày và tiếp tục theo dõi, chờ kết quả cận lâm sàng.

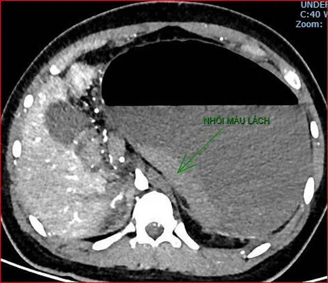
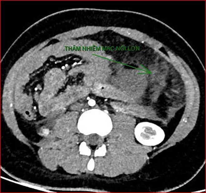
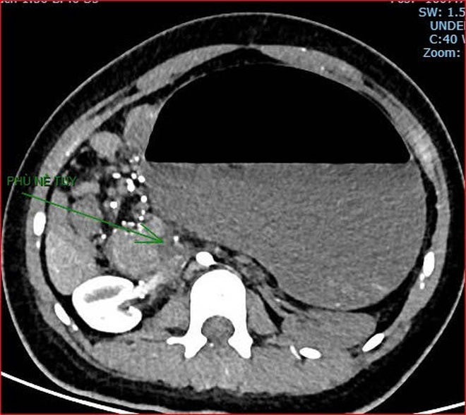
Khoảng 21h40, kết quả chụp CT cho thấy bệnh nhân rơi vào tình trạng cực kỳ nặng và hiếm gặp, bao gồm: Xoắn dạ dày, nhồi máu thận trái, nhồi máu lách, viêm đầu tụy, viêm hỗng tràng, kèm dịch ổ bụng và tràn dịch màng phổi, trên nền bệnh nhân mắc hội chứng Down và tim bẩm sinh.

Ca bệnh tử vong gây dư luận trái chiều: Bệnh viện thông tin sự việc- Ảnh 2.

Ca bệnh tử vong gây dư luận trái chiều: Bệnh viện thông tin sự việc- Ảnh 3.

Ca bệnh tử vong gây dư luận trái chiều: Bệnh viện thông tin sự việc- Ảnh 4.

kết quả chụp CT cho thấy bệnh nhân rơi vào tình trạng cực kỳ nặng và hiếm gặp.

Trước diễn biến nguy kịch, bệnh viện đã khẩn trương tổ chức hội chẩn liên khoa, với sự tham gia của các chuyên khoa Hồi sức tích cực - Chống độc, Cấp cứu, Ngoại tổng hợp, Chẩn đoán hình ảnh và Gây mê hồi sức.

Sau hội chẩn, bệnh nhân được chỉ định phẫu thuật cấp cứu. Tuy nhiên, trong quá trình chuẩn bị can thiệp, bệnh nhân xuất hiện suy hô hấp và ngừng tuần hoàn. Các bác sĩ đã tiến hành hồi sức tích cực, đặt nội khí quản, cấp cứu ngừng tuần hoàn nhiều lần theo đúng phác đồ chuyên môn.

Dù được cấp cứu và điều trị tích cực, do bệnh diễn tiến quá nặng và phức tạp, bệnh nhân đã tử vong lúc 23h47 ngày 15/1.

Vụ bệnh nhân tử vong tại Bệnh viện Đa khoa Hải Tiến: Sở Y tế Thanh Hóa báo cáo gì?Vụ bệnh nhân tử vong tại phòng khám tư: Giám đốc bệnh viện lên tiếng

Bệnh viện Hữu nghị Việt Nam - Cu Ba Đồng Hới khẳng định đã thực hiện đầy đủ, đúng quy trình chuyên môn trong toàn bộ quá trình tiếp nhận, chẩn đoán, điều trị và cấp cứu, với tinh thần trách nhiệm cao nhất. Đồng thời, bệnh viện bày tỏ sự chia sẻ sâu sắc trước mất mát của gia đình bệnh nhân.